Welcome to your MEDICAL LAB TECHNICIAN STUDY MODE KIT 1

NameBusinessEmailPhone Number

How does the secondary immune response differ from the primary immune response?



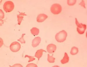
The "spiked" erythrocytes included in the image to the right may be found in each of the following conditions EXCEPT:970-37139



Analytical sensitivity of a method generally refers to:



Which one of the following statements about Coxiella burnetii is not true



Which of the following dematiaceous fungal species produce conidia in clusters?



A urine production of less than 400 mL/day is:



The iodine prep is least helpful in the identification of which of the following parasitic stages:



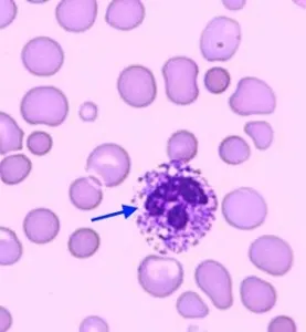
A peripheral blood smear with many myeloid cells was presented for morphology review (see image on the right). Toxic granulation and vacuoles in the neutrophil most likely represent which of the following conditions?970-326146



Standard precautions means that:



8597-228593 8597-228594



The image on the right represents the result of a fluorescent antinuclear antibody (ANA) test. What pattern should be reported?

Note: (a) points to the nuclei of several interphase cells, the primary consideration for discerning the ANA pattern and (b) indicates a metaphase mitotic cell. Observing the chromosomal area and cytoplasm of the metaphase cell may assist in identification of the ANA pattern



The curved, multi-celled, dark brown staining macroconidia divided by transverse septa that can be observed in the photomicrograph on the right is characteristic of which of the following species of dematiaceous fungi?4140-130178



India Ink is used to :



How many grams of sodium hydroxide are required to prepare a 200 ml solution of a 10% (weight per volume) solution? (Atomic weights: Na = 23; 0 = 16; H = 1)



Which of the following packed red blood cell ABO types would be appropriate for transfusion to an O- negative patient?



Hemoglobinopathies can be caused by all of the following structural defects EXCEPT:



Table VIII




          Creatinine levels in mg/dL for 21 healthy hospital employees


































.87.98.931.04.86.901.05
1.08.84.971.12.95.961.02
1.01.93.91.98.99.941.04

What is the median of these data?


What type of follow-up testing is recommended for a Speckled ANA pattern?



A manual white blood cell count was performed by the hematology technologist. The cell counts for both sides were 38 and 42 respectively. All nine large squares were counted on each side. The dilution for this kit was pre-measured at 1:10. What should the technologist report as the white cell count?



_______________ is predominantly associated with skin and soft tissue infections (SSTIs), such as abscesses, cellulitis, folliculitis and impetigo



The trophozoite state of the intestinal flagellate Giardia lamblia is characterized by:



Which of the following would be the most appropriate temperature for long term storage of viral cultures:



You are performing a manual antibody titer in a clinical laboratory. You have made serial dilutions of a patient’s plasma sample and you are looking for anti-streptolysin O antibodies. The first tube contains pure patient plasma. The second tube contains a 1:2 dilution of the first tube. The third tube contains a 1:2 dilution of the second tube and so on. The patient’s antibodies no longer give visible reaction in tube 5, indicating their titer is tube 4 (or the last tube where there is a positive result). What is the concentration of antibodies in tube 4 compared to the concentration in tube 1?



Which color(s) are associated with biohazardous containers?



Which of the following is responsible for humoral response:



MCV is calculated using which of the following parameters:



274-172688

Identify the object contained in the cell in this illustration indicated by the arrow:





Jane Doe is a 39-year-old female who felt tired for several months, had pain in the joints of her fingers, and recently developed a dermatitis following exposure to the sun. The following test results were obtained on a blood sample drawn during the initial evaluation:

Total Protein = 8.4 gm/dL (N = 6.0-8.0 gm/dL)
ANA >1:2560; speckled pattern
CRP = positive
C3 = 40 mg/dL (N = 80-180 mg/dL)
C4 = 5 mg/dL (N = 15-45 mg/dL)

Based on the clinical and laboratory findings, what disease should be suspected?



The turbidity of the bacterial inoculum of a standard disc diffusion (Kirby-Bauer) susceptibility test is:



What is present in the blood of an individual with the Bombay phenotype which will cause it to agglutinate with any non-Bombay individual's blood?



At what phase of antibody screen testing is it most important to read the reactions in order to detect clinically significant antibodies?



If a drug is given at intervals that are the same as its half-life, approximately how long will it take the drug to reach steady state?3594-120176



Safety Data Sheets (SDS) shall be maintained and be available to employees in the:



Hydrogen ion concentration (pH) in blood is usually determined by means of which of the following electrodes?



What is the first thing you would do before you handle or open a chemical:



A blood specimen has been collected from an inpatient. When should the specimen be labeled?



If the antigen frequencies for K = 0.09 and Fya = 0.66, what percent of type-specific units would be compatible for a patient with anti-K and anti-Fya?



In the context of the planning process, the term “goal” has been defined as a:



A WBC differential count on CSF should be performed using the following technique:



The 5' end of a DNA strand ends with a OH group.



In a PCR amplification method, which of the following is amplified?



Illustrated in the top photograph are dry, chalky, heaped colonies growing on Middlebrook agar with a distinctive yellow-orange pigmentation. They were recovered after 5 days incubation from a subcutaneous lesion of the foot from a South American field laborer. Illustrated in the Acid-fast stain in the lower photomicrograph are slender, branching acid-fast bacilli. Casein and tyrosine were hydrolyzed. With these observations and reactions, select from the multiple choices the species identification of this isolate.36272-601985 36272-615429_edit



Which of the following techniques should be used to free someone who is "frozen" to a live electrical line?



The term used to describe patients with absence of Rh antigens is:



HIPAA stands for:



Patients who develop severe sepsis or septic shock commonly have __________ plasma lactic acid values.



Charcot-Leyden crystals in stool may be associated with an immune response and are thought to be the breakdown products of:



Classic automated blood cell counters are based on:



A patient is seen at his physician's office for scaling, flat lesions on his back that are irregular with white blotches of discoloration. The image shown is of a tease mount taken from the skin, stained with Periodic Acid Schiff, which reveals narrow fungal hyphae (arrows) along with 3 – 5 um in diameter, irregular sized spherical budding yeast cells, a presentation often referred to as “spaghetti and meatballs”. From the multiple choices, select the name of the fungus causing this infection.

36272-593093 36272-593095



The most common rapid slide test (MONOSPOT©) for infectious mononucleosis employs:



A 1:100 dilution of a patient peripheral blood was made and 136 Platelets were counted in 5 small RBC counting blocks of a Neubauer-ruled hemocytometer. What is the Platelet count?



What has happened in an antibody titer, if tubes #5-7 show a stronger reaction than tubes #1-4?





Below is a listing of two commonly used terminology systems for genes and antigens. Use this information to answer this question:

If a recipient has anti-c, which donor unit should be selected?



Wiener Fisher-Race (haplotype)

RoDce

R1DCe

R2 DcE

R DCE

r dce

r’ dCe

r” dcE

ry dCE



A rosette test to screen for FMH is contraindicated if the newborn is weak-D positive :



This suspicious form was recovered in blood. Please identify the species listed below that matches the parasites shown in the image with arrows.

297-215475



Which one of the following tests should be used to monitor a patient's response to treatment for syphilis:



Extrinsic cell characteristics are reflected by the forward and side scatter on a flow cytometry cytogram.



Which immune elements are involved in a POSITIVE TB skin test?



A technologist performing an antibody identification in the blood bank has recorded the following results found in the worksheet below. Which antibody(ies) are MOST LIKELY the cause of the agglutination reactions in this patient's sample?



Which of the following kappa / lambda ratios is found in normal serum:



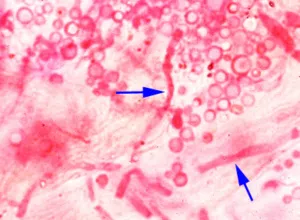
The border to border extension of the mycelium as illustrated in the top photograph is characteristic of one of the Zygomycetes. Although a light yellow green pigmentation of the mycelium is observed, the identification of the isolate depends on the presentation of the fruiting body observed in the bottom photomicrograph. From these observations, select the name of this isolate from the list of multiple choices :36272-588681_edit 36272-588682



Which of the following is NOT required to be in a machine-readable format on a blood component label :



All of the following statements about fluorometry are true EXCEPT:



When should a prewarm technique be performed?



A zinc deficiency in the elderly is often caused by:



Abnormal crystals that can be found in urine include:



A hapten can BEST be described as :



Aspirin (salicylic acid) affects platelet function by:



Granulocyte Concentrates MUST be administered within ______ of collection.



The renal threshold is best described as:



At what frequency should quality control testing be performed on each lot of anti-human globulin to be in compliance with the FDA’s current good manufacturing practices requirements?



Delayed hemolytic transfusion reactions (DHTR) usually occur within which time period?



Three of the fungi that are listed below have been reported to cause the majority of opportunistic infections in humans. Select the name of the one that can be excluded from this group.



Bordet-Gengou cough plates are used to isolate:



The image on the right is a cytospin preparation of cerebrospinal fluid (CSF). What is the blood cell type that is indicated by the arrow?



In this photomicrograph are observed several background dematiaceous hyphae within which is seen a long, flask-shaped, tapered phialide (arrow) that has a flat saucer-like terminus. This feature is most characteristic of:3718-122959



What is the primary target of HIV?



If a patient has an antibody to a low-frequency antigen like Kpa or Jsa, how would this impact the ability to find compatible blood and to identify the antibody?



Spherocytes are associated with which two of the following conditions:



Which of the following immunoglobulin classes is chiefly responsible for the degranulation of mast cells and basophils:



The cytospin technique perfectly preserves the morphology of blood cells in a fluid sample.



Which of the following can lower the amount of current needed to cause electricity-induced injury?



Which one of the following blood groups usually reacts LEAST strongly with anti-H?



An urticarial transfusion reaction is characterized by:



When given during pregnancy, RhIg may cross the placenta and cause a positive DAT in the newborn.



When administering Fresh Frozen Plasma, which one of the following is considered standard blood bank practice?



Which of the following serological test results may occur in a patient experiencing a hemolytic transfusion reaction due to antibodies such as anti-c and anti-K? (Select all that apply.)



What is the most prudent step to follow to select units for cross-match after recipient antibodies have been IDENTIFIED?



Which is in the correct order from the lowest concentration of H antigen to the highest concentration of H antigen?



Which listed transfusion reaction is MOST OFTEN associated with transfused patient's lacking IgA?





Red blood cells with a positive DAT cannot be tested accurately with blood typing reagents that require an indirect antiglobulin technique unless they have been treated with ___________________ to dissociate IgG from the RBC membrane.



Which of the following conditions is most frequently associated with anti-I:



Which one of the following statements about directed donations is true:



Units of A-, B-, and O-negative red blood cells are shipped to your transfusion service. What testing MUST be performed by your facility prior to placing these units into your inventory?



For transfusion services in the United States, which of the following incidents must be reported to the Food and Drug Administration (FDA) because of a biological product deviation?



For which of these reasons would a molecular method be used to determine a pregnant woman's Rh type?



A former patient had an anti-E four years ago, but her antibody panel is now negative. Since she now needs blood for surgery, what should the blood bank do?



Which of the following statements best describes Rh antibodies:



A group A Rh positive infant born to a group O Rh negative woman has a 1+ positive DAT. The mother had a negative antibody screen at delivery and received antenatal RhIg.

Which of the following are possible causes of the newborn's positive DAT?



Which is the best component to treat a patient with fibrinogen deficiency?



A patient experiences a mild allergic reaction to a transfusion, including urticaria, erythema (skin redness), and itching. What is the most likely source of the allergen?



12421 312064

A mother's serologic results are shown above. Her newborn types as group A Rh positive with a (1+) positive direct antiglobulin test (DAT).

Which of the following investigative tests would be most useful to resolve the cause of the positive DAT and should be done FIRST?



When AHG or Coombs serum is used to demonstrate that red cells are antibody coated in vivo, the procedure is termed:



Which of the following blood groups reacts least strongly with Anti-H:



Which of the following antigens is classified as a Major Histocompatibility Complex
Class II antigen (MHCII)?



An acute hemolytic reaction may be caused by which of the following? (Choose all that apply)



Which of the following red blood cells contain the most H antigen:



Which unit contains the proper number of platelets from a random donor?



Which of the procedures listed below will increase the platelet concentration in the preparation of platelets?



At 28 weeks gestation, a group A Rh-negative female had a negative antibody screen and was injected with Rh immune globulin (RhIg).

Anti-D is detected in the mother's serum at delivery. A panel is performed that excludes the presence of other antibodies. The most likely conclusion would be passive anti-D due to RhIg administration.



The ability to produce anti-D varies significantly among Rh negative individuals.



Which of the following blood group antigen-antibody reactions is enhanced by using enzymes:



Which Rh antibody might be produced if a unit of blood with Rh genotype DCe/dce is given to a patient with Rh genotype DCe/DCe?



If an Rh negative patient is administered a unit of R1R1 packed red cells, which one of the following antibodies would be most likely to develop:



Which of the following tests are suitable for quantifying the size of fetomaternal hemorrhage (FMH)? Select all that apply.



Phone
WhatsApp